Coal miners with black lung disease slam Mitch McConnell after brushing them off during two-minute meeting
“He might’ve stayed a minute.”
07.25.19

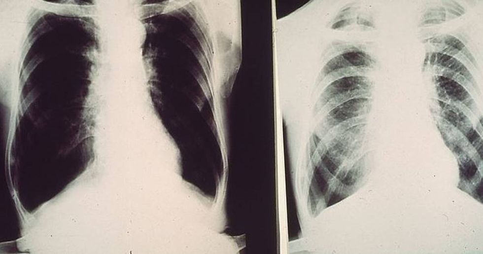
Black lung disease is scarring of the lungs caused by inhaling coal dust over a long period of time. According to WebMD, 16 percent of coal miners may eventually develop health issues in their lungs from inhaling coal dust.
Keep Reading
Show less
he blood samples for the PCR testing for HIV for infants are gathered at the local clinics and hospitals in Malawi. © Karin Schermbrucker/UNICEF